


“没想到体检竟然查出大问题,多亏了长春肿瘤医院的多学科团队,顺利解除了我身上的‘定时炸弹’, 目前身体恢复得很好……”近日,在泌尿外科病区,胡大爷感激万分。
这是腹腔镜下超声设备引入长春肿瘤医院后,在复杂泌尿系统手术上的又一次技术创新。凭借超声设备的精准导航功能,精确地切除肿瘤组织,保留更多健康肾组织,提⾼⼿术治疗效果,为患者带来福⾳。
疑难手术又一技术创新
胡大爷今年53岁,前一阵在体检时查出右肾占位性病变,便来到长春肿瘤医院泌尿外科就诊。
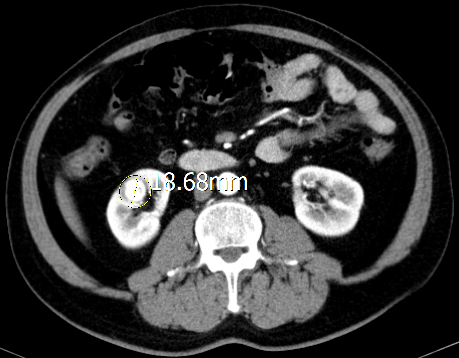
“结合相关影像资料,我们发现患者右肾皮质内见类圆形强化灶,直径约18mm,边界模糊不清,考虑恶性肿瘤。建议开展手术。”泌尿外科主任李胜文表示。
被肾脏包裹的肿瘤
由于胡大爷的肾肿瘤隐匿于肾实质深处,被正常肾脏组织包裹,手术中肉眼无法观测,定位非常困难,肿瘤位置判断不准确,可能导致⼿术不彻底或损伤周围健康组织,因此必须借助其他⼿段辅助定位。
胡大爷住院后,泌尿外科、超声科、麻醉科、手术室等专家团队展开会诊讨论,考虑更精准定位和切除,更高效开展手术,医工科决定引入腹腔镜下超声设备,在超声定位引导下进行肾肿瘤切除手术。
多科协作精准“拆除”肿瘤
泌尿外科、超声科、麻醉科协作
由于手术创伤小,患者恢复迅速。术后第一天即可进食,第三天即可下床活动,大大缩短了住院时间。
医疗技术革新造福患者
目前外科手术已逐步走向微创化、精准化道路,腹腔镜超声技术可以让术中诊断更精准、手术方式选择更合理、手术操作更精细。
减少并发症风险
超声设备实时显示肿瘤及周边血管管,降低误伤风险,如输尿管损伤、确保手术安全。
提高手术效率
通过腔镜下超声设备,手术团队能够迅速找到肿瘤位置,缩短⼿术时间,减轻患者痛苦和失血风险。
增强手术可预测性
借助超声设备的引导与监测,⼿术团队能够更准确地预测手术效果,提高手术的可预测性和成功率。
促进术后恢复
超声设备辅助下,手术创伤小,患者恢复快,减少住院时间,促进术后恢复。
此次多学科通力协作,不仅让患者得到精准化治疗,也增强了科室间交流合作。今后,也将继续发挥多学科联合的优势,为肿瘤患者提供更科学、更合理、更优质的个体化诊疗服务,让患者最大程度获益。